烤瓷牙改色及上瓷
其实不管是深改浅,还是浅改深,都需要重新上瓷 。所以需要比色准确 堆瓷的时候,是将体瓷堆上去,而我们平时比色的结果,都是体瓷的颜色。白的染黄,可以,黄的染白,同样可以。因为染色是后期上釉的时候染的,只要把表面的釉给车掉,之后重新上釉上色就行了;饰瓷的最外层不一定都是透明瓷,不管是金属内冠还是全瓷内冠,内冠完成之后,就是上瓷了。
比色




实际上,你不可能在口腔里给患者画上这四条黑线,这就需要你能抽象的想象有这么四条线,然后按照下面比色板分区比色。很麻烦,习惯了就好,这需要自我锻炼。你还可以在制备前先取参考模,在参考模上画线。然后对着口腔进行比色。





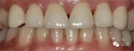
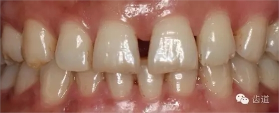
用普通相机拍的,效果并不好。这些牙的厚度只有0.6mm,实际上,二氧化锆内冠的厚度有0.4,瓷层只有0.2。总之,临床的比色很重要,要能准确的传递比色结果,而不是简单的给一个2M1什么的。但是大多数医生都没办法给你提供更多的信息,这需要从其他牙上去判断。
来源于齿道




