转: DSD微笑设计

比色很简单,但要有一定的技巧才能比得更加准确。比色要确定这颗牙是什么颜色的,牙齿色彩空间由三个要素确定:亮度、饱和度和色值。
第一步:确定亮度
亮度的选择对比色影响最大。如果亮度选错了,修复体就不会达到理想的比色效果,选对了亮度比色就完成了60%。因为口腔属于一个相对比较暗的环境,眼睛对饱和度和色相的辨别能力降低,只有亮度是显而易见的,一看就知道这是假的了。
亮度的选择如此重要我们该如何去选择会比较好点呢?

1、在较暗的自然光线下选择亮度,因为人的视网膜中大约有1亿2百万个视杆细胞 ,在较暗的光线下视杆细胞可以立刻辨别出光亮度。
可以看出在较暗的光线下同一组的色片即使饱和度和色相不同但其亮度是一样,所以选择亮度时到光线太强的地方如窗口或门口去是不对的。
2、在选择明度时眯着眼睛看会更准确 。因为明度的大小与反射光线的多少有关,而视杆细胞分布在视网膜的周边,眯着眼可以减少进人眼的光线,使视杆细胞变活跃。
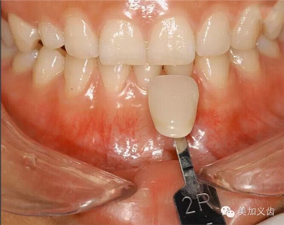
3、 调整椅位,使病人嘴巴与医生的视线平齐,将比色板置于嘴边(约一臂之遥) 太近及太远了都不利欲亮度的选择。
4、记录亮度组别:1、2、3、4、5。

第二步:确定饱和度

1、确定了亮度后在光亮的自然光下拿出确定亮度所在组的M系列选择饱和度。

2、记录饱和度:1、2、3。
第三步:确定色值

1、拿出R、M、L系列确定是否 有偏红或偏黄。
2、最后确定色相,记录颜色。如果偏红就选择R系列,偏黄就选择L系列,既不偏红也不偏黄则选择M系列。




